変色歯でお困りの方は結構多いと思います。
昔、歯を打ったとか、神経を抜いたらたちまち歯が黒くなってきたという経験はありませんか?
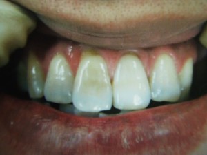
術前
歯の裏から薬を一回いれただけ
費用は5250円ですみました。。
もし綺麗なセラミックの歯など入れたら10万円近くかかります。
数年前歯の神経を別の歯科医院で抜いたが、最近になって色がどんどん黒くなってきたとのこと。
2回の来院で真っ白。5250円。
なんとかします! やっぱり自分の歯は神様が創った最高の宝石・・・。のようなもの・・・。
歯茎にもぴったりだし、何10年たっても美しいですよ。
でも、特殊なケース(小さいときにある種類の抗生物質を飲んで、変色した大人の歯が生えてきた)
は、簡単にはいきません。
その場合はやはり、セラミックを使います。保険適用外です。
犬歯、小臼歯の変色歯
ラミネートベニヤ法で対応しました
歯を綺麗にするのは高くつくから・・・とあきらめている方は
遠慮なくご相談ください。私がなんとかします!!!





